|
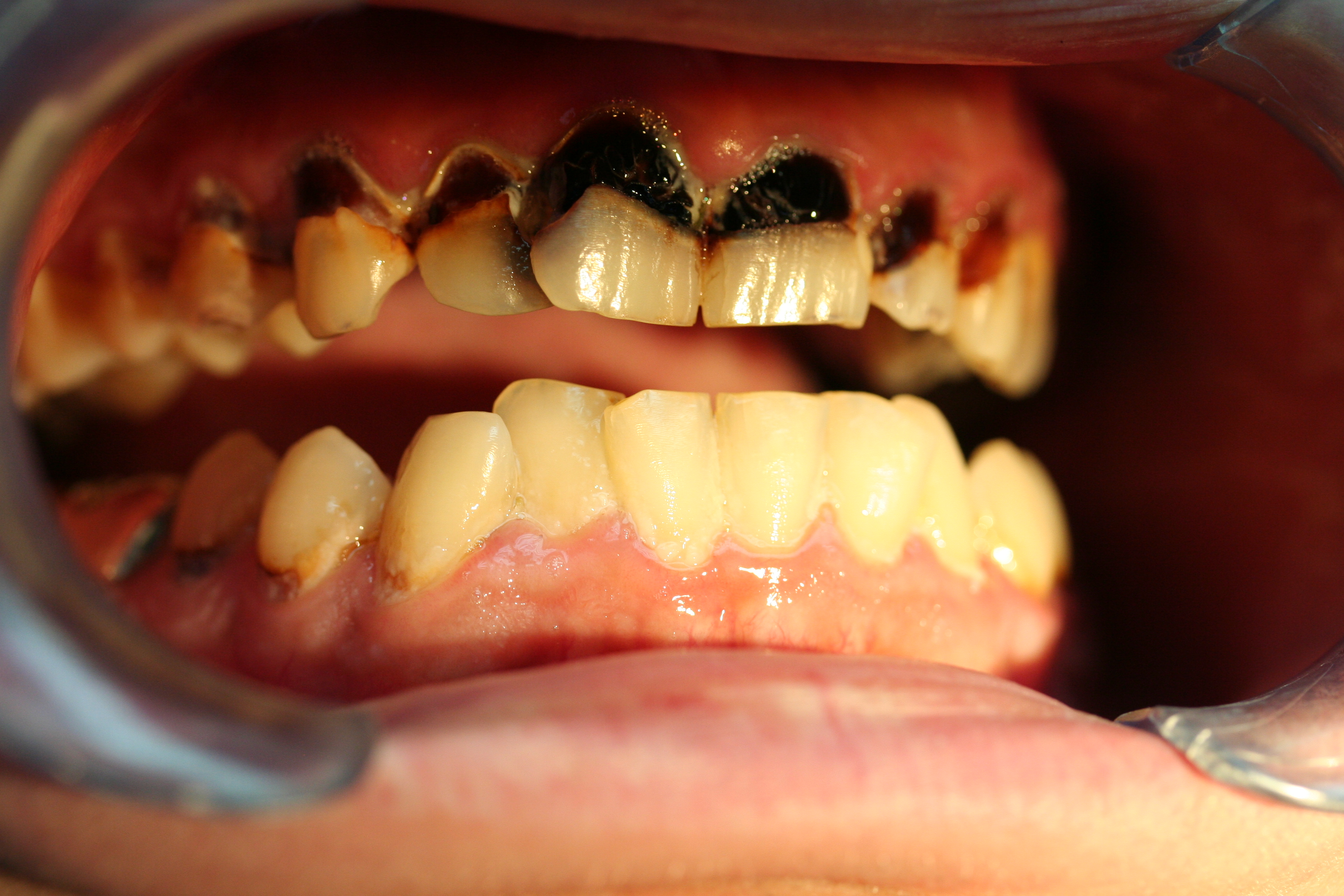
STOMATOPHOBIE
peur extrême du dentiste
phobie des soins dentaires
  
LA STOMATOPHOBIE PEUT ABOUTIR A UN ETAT D'ABANDON
BUCCAL
avec des répercussions sur la vie professionnelle et
affective et des
répercussions sur la santé générale
des
prothèses d’attente sont réalisées par avance pour retrouver le sourire ,
Notre équipe vous conseille sur le type de traitement
global de la bouche , implantaire, prothétique ou orthodontique
F.
M C LE QUOTIDIEN DU MEDECIN - N° 7736 - LUNDI 25 AVRIL 2005
extrait de l'article du quotidien du médecin
Seul un traitement sous anesthésie générale ou sous neurolptanalgesie permet à ces
patients de retrouver le sourire. Cette réhabilitation par un travail d'équipe, avec un lourd plateau technique, en
clinique spécialisée, permet en une séance de procéder à des
avulsions dentaires souvent multiples, des soins conservateurs, des soins
parodontaux,des implants et une prothèse immédiate rétablissant le sourire.
|